
Blog Posts


Dietary Creatine Intake and Depression Risk Among U.S. Adults
November 23, 2025
ECT Reduces Suicidality and Mortality in Refractory Depression
November 23, 2025



Follow-Up Visits by Provider Specialty for Depression Treatment
November 23, 2025


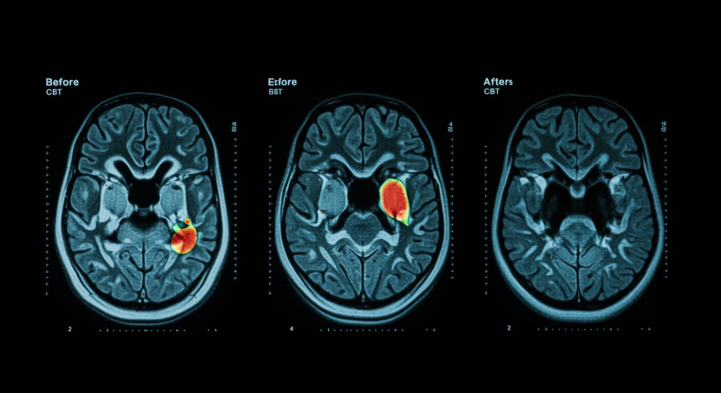
How Different CBT Components Target Specific Brain Mechanisms
November 23, 2025
HPA Axis and Depression Across Women's Reproductive Life
November 23, 2025